Durante la gravidanza i cambiamenti vascolari e ormonali possono influire sulla reazione del corpo alla presenza della placca batterica con il possibile sviluppo di gonfiore gengivale, eccessivo sanguinamento e, in donne predisposte, infiammazione parodontale.
La Parodontite
È una patologia molto diffusa che può avere come conseguenza la mobilità e la perdita dentaria.
I batteri parodontali possono entrare in circolo, raggiungere la placenta e generare tossine all’interno del liquido amniotico che hanno come conseguenza un’infiammazione potenzialmente causa di un parto prematuro.

Parodontite e Gravidanza: I Sintomi
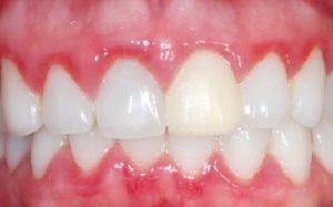
Le donne durante la gravidanza dovrebbero essere a conoscenza dei principali sintomi associati alla parodontite e dovrebbero provare ad eseguire un’autovalutazione per ricercare cambiamenti infiammatori come:
- presenza di sanguinamento gengivale;
- dolore durante la masticazione;
- alitosi orale;
- mobilità dei denti.
Situazioni queste che dovrebbero allertare le donne sulla necessità di cercare immediata assistenza.
Anche in assenza di qualsiasi segno di malattia, le donne in stato di gravidanza dovrebbero cercare una consulenza per la salute orale con il loro dentista o con l’igienista dentale il prima possibile per protocolli preventivi appropriati.
Se hai ulteriori dubbi o domande non esitare a contattarci!
Seguici sui nostri canali social Facebook e Instagram per rimanere sempre aggiornato.
[ninja_form id=3]